Empowering vision:Bone Suppression

Algoritmo di AI che rimuove le ossa dalle immagini radiografiche del torace con una singola esposizione
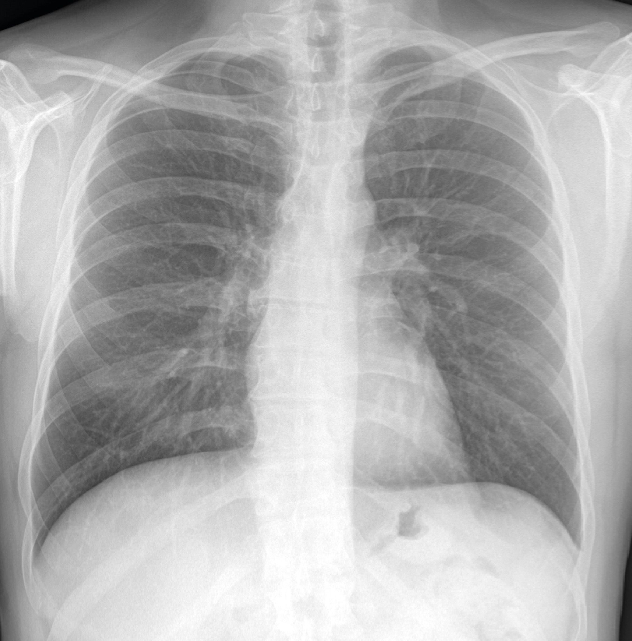
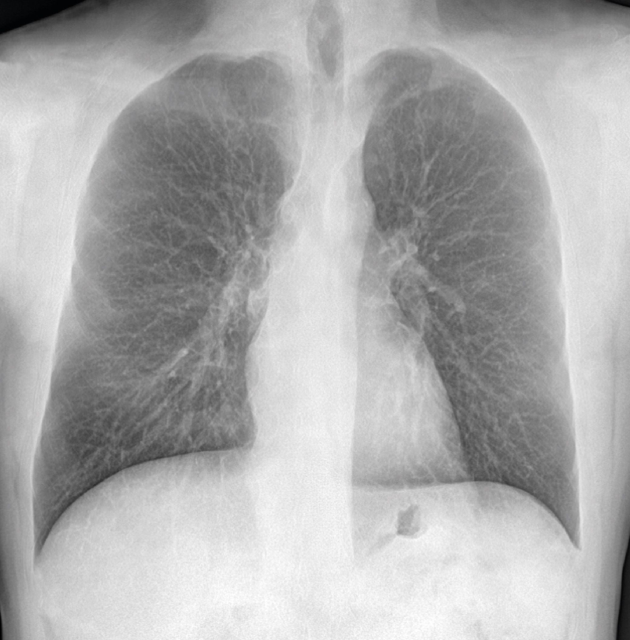
Bone Suppression è un algoritmo di post-processing che rimuove la componente ossea dall’immagine di una radiografia standard del torace favorendo la visibilità dei tessuti molli e di eventuali lesioni.
SCARICA L'ARTICOLOTHE
FEATURES

Interpretare una radiografia del torace può rivelarsi complicato: le strutture ossee a elevato contrasto presenti (coste e clavicole) possono oscurare del tutto o in parte le lesioni polmonari, ed essere perciò alla base di errori se non addirittura di mancate diagnosi.
Bone Suppression si propone di fornire un’immagine RX con migliore visibilità del campo polmonare mediante la riduzione del rumore causato dalle strutture ossee.


Grazie all'algoritmo di Bone Suppression è possibile, a partire da un'immagine radiografica standard del torace ottenuta con una singola esposizione e ricorrendo all'implementazione di un algoritmo basato sull'Al, rimuovere automaticamente le strutture ossee e ottenere un output di qualità elevata che faciliti la visibilità dei tessuti molli senza necessità di esporre il Paziente a dosi addizionali di radiazione.
Punti di forza:
- Può essere integrata nel flusso di lavoro abituale senza appesantirlo
- Fornisce un’immagine aggiuntiva in cui le componenti ossee sono rimosse
- Opera sulle immagini raw, consentendo così l’utilizzo di qualsiasi tecnica di post-processing desiderata
- Non richiede acquisizioni aggiuntive, evitando al paziente qualsiasi esposizione extra a radiazioni
- In quanto funzione algoritmica basata su intelligenza artificiale, non richiede attrezzature specializzate
Senza comportare appesantimenti o rallentamenti, senza richiedere ulteriori acquisizioni né comportare incrementi di dose di radiazione somministrata al Paziente, a partire dall’immagine RAW l’algoritmo di Bone Suppression genera un’immagine addizionale - anch’essa RAW - con la componente ossea rimossa. A quest’immagine aggiuntiva (e non sostitutiva della proiezione standard) potrà poi essere applicato il normale post-processing manuale eventualmente ritenuto necessario ai fini di visualizzazione e refertazione.

Ricevi più informazioni su Bone Suppression
Contattaci per ricevere una demo dei nostri prodotti o per ottenere maggiori dettagli.

La sezione dedicata agli articoli tecnici dei nostri algoritmi più innovativi e sofisticati
Con le descrizioni dei loro vantaggi, le loro modalità d’impiego e le destinazioni d’uso per risultati efficaci e ottimizzati.
Leggi gli approfondimenti
Powered by Tiresya
La nostra conoscenza, la nostra esperienza e il nostro approccio innovativo, tutto in una sola intelligenza.
Scopri Tiresya