ERACLE
Digital radiography and fluoroscopy acquisition software

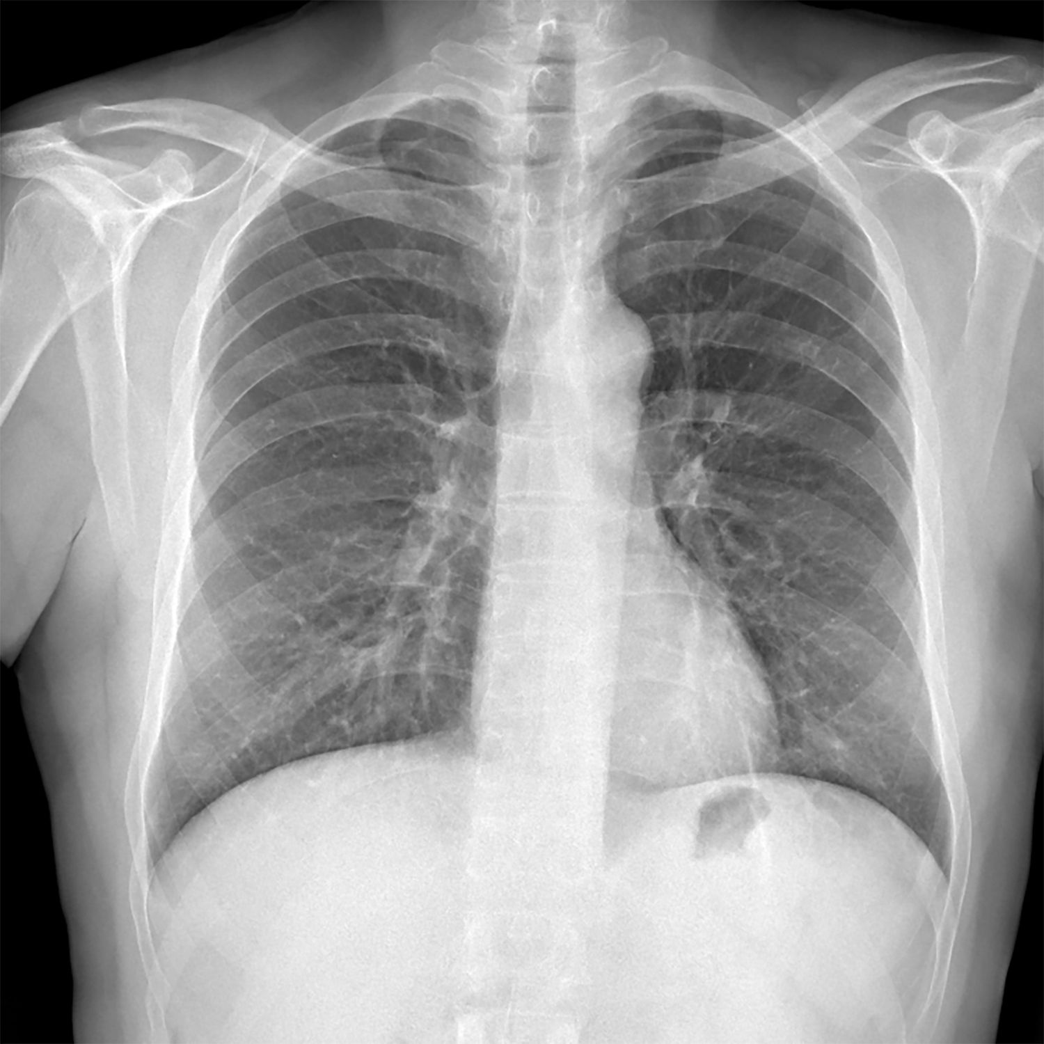
ERACLE* è un software di acquisizione, elaborazione, visualizzazione e gestione di immagini digitali radiologiche in modalità di grafia e fluoroscopia (continua e pulsata) con detettore statico e dinamico.
* Dispositivo medico marcato CE secondo Regolamento (UE) 2017/745.
SCARICA LA BROCHUREDISCOVER
ERACLE

Modalità d’uso

tavoli telecomandati

Ambiente Windows

Compatibilità detettori di diverse marche e modelli

Possibilità di configurare due detettori statici e uno dinamico in contemporanea

Compatibilità generatori di diverse marche e modelli

Integrazione meccanica del sistema

APR personalizzabili

Gestione multi-utente

Modalità emergenza

Gestione Paziente mediante archivio locale e DICOM worklist

Integrazione camera

Tecniche avanzate di acquisizione

Funzioni grafiche di misura

Elaborazione avanzata delle immagini

Compatibilità DICOM 3.0
PERCHÉ SCEGLIERE I PRODOTTI DIGITEC
AFFIDABILITÀ
L'affidabilità è il valore che ci contraddistingue: una qualità che abbiamo raggiunto grazie a 40 anni di esperienza, responsabilizzando i nostri colleghi e rendendo stabile la nostra attività. Con i nostri Clienti creiamo relazioni a lungo termine basate su fiducia, credibilità e trasparenza.
CUSTOMIZZAZIONE E INTEGRAZIONE
Sviluppiamo e personalizziamo prodotti che possono essere integrati con diversi sistemi X-ray, in modo da soddisfare le esigenze specifiche dei nostri Clienti.
SERVIZI
Progettiamo soluzioni volte a migliorare l'esperienza del Cliente con Digitec, fornendo pacchetti di servizi aggiuntivi che mirano a dare vantaggi significativi ai nostri Clienti.
QUALITÀ SOFTWARE
Il nostro obiettivo è creare software che presentino una combinazione di affidabilità, efficacia, facilità d'uso e manutenibilità. Prestiamo particolare attenzione alle aspettative dei nostri clienti e all'esperienza degli utenti finali.

Ci impegniamo a offrire la migliore esperienza per i Clienti e crediamo nelle partnership a lungo termine.
Per questo motivo, oltre ai nostri prodotti, forniamo servizi aggiuntivi che mirano a dare vantaggi significativi ai nostri Clienti, migliorando così il loro percorso e la loro relazione con noi.
Scopri i serviziVuoi più informazioni su Eracle?
Contattaci per ricevere una demo dei nostri prodotti o per ottenere maggiori dettagli.

Powered by Tiresya
La nostra conoscenza, la nostra esperienza e il nostro approccio innovativo, tutto in una sola intelligenza.
Scopri Tiresya
Trusted solutions
La nostra intelligenza al tuo servizio, per acquisire, elaborare, visualizzare e gestire immagini radiologiche, valorizzando i sistemi x-ray.
Scopri i software









